Our Dental Services
Dental Cleaning
Ensuring optimal dental hygiene is essential for overall health, and regular dental cleaning plays a crucial role in achieving this goal.Regular dental cleanings are important to remove plaque, tartar, and bacteria that can accumulate on teeth and gums For top-notch dental care in Delhi, RECARVE MAXILLOFACIAL CENTRE & DENTAL STUDIO stands out as a premier destination offering comprehensive dental cleaning services.
Read MoreDental Whitening
Dental whitening has become a popular cosmetic dental procedure, offering individuals a brighter and more confident smile. In the bustling city of Delhi, one name stands out for its expertise in dental whitening – RECARVE MAXILLOFACIAL CENTRE & DENTAL STUDIO. Understanding the significance of professional services in achieving optimal results is crucial in the pursuit of a radiant smile.
Read MoreDental Implants
Dental implants have become a revolutionary solution for those seeking a permanent and natural-looking replacement for missing teeth. When it comes to ensuring the success of your dental implant procedure, choosing the right dental center is crucial. In Delhi, RECARVE MAXILLOFACIAL CENTRE & DENTAL STUDIO stands out as a leader in providing top-notch dental implant services.
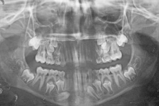
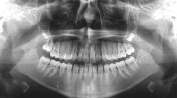
Read MoreDental X-ray
Dental X-rays are pivotal in contemporary dentistry, offering crucial insights into oral health. Leading the way in dental imaging in Delhi is the esteemed RECARVE MAXILLOFACIAL CENTRE & DENTAL STUDIO. Recognized for its proficiency in providing accurate and thorough dental diagnostics, the center plays a key role in advancing oral healthcare.
Read MoreOur Cosmetology Services
Hair Transplant
Dr. Uday Bhan Singh is a distinguished professional in the field of maxillofacial surgery, with extensive experience in hair transplant procedures. Holding impressive credentials, including specialized training in hair restoration, Dr. Singh is recognized for his skillful approach and commitment to patient satisfaction. Recarve stands out as a state-of-the-art facility equipped with the latest technology for maxillofacial procedures, including hair transplants. The center prioritizes patient comfort and safety, creating an environment conducive.
Botox Fillers & Face lift
In the ever-evolving world of cosmetic enhancements, individuals are continually seeking effective solutions to rejuvenate their appearance. Botox Fillers and Face Lifts have emerged as popular choices, promising to turn back the hands of time. At the forefront of these transformative procedures is the renowned Dr. Uday Bhan Singh, founder of Recarve Maxillofacial Centre & Dental Studio. Reducing the appearance of wrinkles and fine lines. Dr. Uday Bhan Singh utilizes advanced techniques to administer Botox, ensuring natural-looking results.
Thread Lifts
Thread Lifts and Face Lifts have emerged as popular cosmetic procedures. However, the success of these treatments heavily depends on the skill of the practitioner. Thread Lifts and Face Lifts, focusing on the expertise of Dr. Uday Bhan Singh and the renowned RECARVE Maxillofacial Centre & Dental Studio. Thread Lifts are non-surgical procedures designed to lift and tighten the skin, offering a more youthful look without the invasiveness of traditional Face Lifts. Unlike Face Lifts, which involve surgery, Thread Lifts use dissolvable threads to achieve a subtle yet effective lift.
Lip Correction
Lip correction is a transformative procedure that goes beyond aesthetics, impacting individuals on both physical and emotional levels. In the skilled hands of Dr. Uday Bhan Singh at Recarve Maxillofacial Centre & Dental Studio, this journey of transformation becomes not just a correction but an artistry in enhancing natural beauty. When it comes to lip correction, it's crucial to understand the various aspects involved. Dr. Uday Bhan Singh, a distinguished expert in maxillofacial surgery, addresses a spectrum of issues, from asymmetry to proportions, ensuring a harmonious and balanced appearance.
Ear Lobe Correction
Ear lobe correction has become a sought-after cosmetic procedure for individuals looking to enhance their facial aesthetics. We will delve into the intricacies of ear lobe correction, focusing on the expertise of Dr. Uday Bhan Singh and the exceptional services provided at the RECARVE MAXILLOFACIAL CENTRE & DENTAL STUDIO. The human earlobes are susceptible to various issues, including splits or tears, elongation, and deformities caused by previous piercings. These concerns can impact one's appearance and, subsequently, their self-esteem.
Tired Eye Look Correction
The constant hustle of our daily lives often leaves us with tired, fatigued eyes, impacting our overall appearance. The tired eye look can contribute to a worn-out appearance, affecting our self-esteem and confidence. We delve into the world of tired eye correction, exploring the expertise of Dr. Uday Bhan Singh and the innovative approaches taken at RECARVE MAXILLOFACIAL CENTRE & DENTAL STUDIO. Various factors contribute to the tired eye look, such as lack of sleep, aging, or underlying health issues. The eyes play a significant role in facial aesthetics.
Dark Circle Treatment
Dark circles, often a source of concern for many, can impact one's appearance and confidence. Dr. Uday Bhan Singh, a renowned expert at RECARVE MAXILLOFACIAL CENTRE & DENTAL STUDIO, understands the complexities of dark circle treatment and offers innovative solutions tailored to individual needs. Dark circles can result from various factors such as genetics, lack of sleep, or underlying health issues. It's crucial to dispel common misconceptions and gain a comprehensive understanding of what causes these pesky under-eye shadows.
BB Glow
Skincare has evolved beyond the traditional cleansing routines, and individuals are increasingly seeking advanced treatments to achieve radiant and flawless skin. One such revolutionary procedure gaining popularity is the BB Glow Facial, offered by the renowned Dr. Uday Bhan Singh at Recarve Maxillofacial Centre & Dental Studio.The BB Glow Facial stands out as a game-changer in the realm of skincare. This article explores the intricacies of this facial treatment and sheds light on why Dr. Uday Bhan Singh is the go-to expert for this transformative experience.
Consultant Surgeon at
Atlanta hospital Vasundhra
Perfect Tyagi Hospital
Shreya hospital Shalimar garden
Avantika hospital rohini opp Jaipur golden hospital
Med star hospital Mira bagh
Polyclinic in Haldwani
Sanjeevni Hospital Rampur UP
Naveen Hospital vaishali
Lucknow-UP
Basti-UP
Siwan- Bihar
About RECARVE Maxillofacial Centre & Dental Studio
Welcome to RECARVE Maxillofacial Centre & Dental Studio, where excellence in oral and maxillofacial care meets artistic precision. We are a cutting-edge healthcare facility dedicated to providing comprehensive solutions for maxillofacial and dental health.
At RECARVE, we understand the importance of a healthy and aesthetically pleasing smile. Our team of highly skilled and experienced oral and maxillofacial surgeons, dentists, and support staff is committed to delivering personalized and top-notch care to our patients.
Our state-of-the-art facility is equipped with the latest technology and diagnostic tools to ensure accurate assessments and effective treatments. Whether you require routine dental check-ups, advanced oral surgeries, or facial aesthetic enhancements, we offer a wide range of services tailored to meet your unique needs.


